西安新城中大耳鼻喉医院

西安新城中大耳鼻喉医院

029-87401000

首页 > 乳突炎 > “乳突有效治疗术”祛除中耳炎乳突炎,遏制听力下降

“乳突有效治疗术”祛除中耳炎乳突炎,遏制听力下降

   当得知自己患上中耳乳突炎的时候,很多时候患者自身并不是了解这个疾病。现在西安中大耳鼻喉医院医生解释:乳突炎常继发于中耳炎,引起乳突粘膜充血及水肿,分泌物增多。继续发展可破坏气房间隔,甚至破坏乳突骨壁而向颅内、外穿破。乳突炎转为慢性后,乳突内充满肉芽和脓液,破坏骨质,刺激新骨增生,当鼓膜穿破后,外耳道上皮长入中耳及鼓窦,部分上皮坏死及变性后,形成胆脂瘤。
 

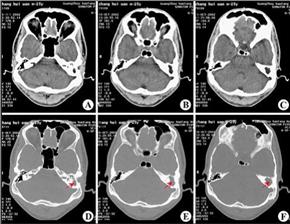
CT显示:左侧慢性中耳乳突炎(胆脂瘤型)
 

  目前,临床治疗推荐采用【乳突有效治疗术】配合鼓室成形术治疗中耳炎乳突炎。“乳突有效治疗术”是一种可以高效治疗中耳病灶和重建鼓室传音结构的手术。该手术是在显微镜下通过耳显微器械去除病变,同时修复鼓膜及重建听骨链,清除病灶,以达到提高听力的目的。与医生沟通中耳乳突炎病情,以确定好治疗方案。

   “乳突有效治疗术”手术方法治疗中耳炎乳突炎

  一般步骤与传统乳突有效治疗术相同,但根据病变程度不同有所变化。对于病变局限于上鼓室者,凿入鼓窦后可用小圆凿或电钻,由鼓窦入口外侧向前,除去上鼓室外侧壁至接近前壁为止,充分开放上鼓室,以小刮匙或细弯针将鼓窦入口外侧向前,除去上鼓室外侧壁至接近前壁为止,充分开放上鼓室,以小刮匙或细弯针将鼓窦入口及上鼓室病变组织或胆脂瘤完全清除。详细了解手术过程,可直接咨询在线咨询…

  西安中大耳鼻喉医院的“乳突有效治疗术”可更高效治疗中耳炎及并发症,修复听骨链,重建听力,并且对患者的伤害很小,该方法的诞生为耳病患者带来了健康的福音,解决了治疗中耳炎难治难消的顽疾,获得了众多治疗患者的高度好评。
 

  首席手术医生:

  美国明尼苏达中耳炎科研中心医生——张全安教授简介在线咨询,如何治疗中耳乳突炎?

  主要职务

  ★原耳鼻咽喉科主任

  ★西安耳病研究所所长

  ★美国明尼苏达中耳炎科研中心医生

  ★西安中大耳鼻喉医院耳病诊疗中心耳外科学科带头人


 
    与美国明尼苏达耳鼻咽喉头颈外科主任Adama教授合影 

  个人简历: 

  1967年毕业于,从事耳鼻咽喉科临床、科研和教学工作40余年,积累了丰富而全面的临床经验,期间担任西安耳鼻咽喉科主任,西安耳病研究所所长;发表中、英文论文50余篇;获省市一、二等科技进步奖多项。1993年以来,以高级访问学者身份多次赴美从事科研和学术交流长达5年多;其中参与美国明尼苏达中耳炎研究中心进行中耳炎病理研究,所提出的一系列中耳炎理论居世界前沿水平,领先地位。

免费电话 预约医生

推荐疗法

“诊治性鼓窦插管术”治疗中耳炎高效更得力 耳朵出了问题千万别小看,选对方法积极治疗...[详细]

推荐医生

张全安 教授 主任医师 1967年毕业于第四军医大学,从事耳鼻咽喉...[详细]

冯亮 主治医师 从事耳鼻咽喉科二十余年,具有丰富的...[详细]

TOP

医院地址:西安市新城区北新街3号(革命公园往西200米)

网站备案号:陕ICP备16000275号