近日,家住新城区的王先生来到西安中大耳鼻喉医院耳病诊疗中心。据王先生透露,不久前,他与别人发生了纠纷,在动手的过程中,被人打至耳朵出血,去诊所检查为右耳外伤性鼓膜穿孔。吃了两周的消炎药没好,耳朵里还是会出黄色的脓液,在朋友推荐下,他决定来西安中大耳鼻喉医院耳病诊疗中心治疗。由于对鼓膜穿孔不了解,王先生问接诊的医生:鼓膜穿孔算严重的病吗?吃药没效果,要怎么治效果好呢?
鼓膜穿孔危害大,检查治疗要趁早
据冯亮医生介绍,鼓膜穿孔是一种比较常见的耳部疾病。中大医院耳病诊疗中心也能经常见经常见到各种不同类型的鼓膜穿孔病人。其中不少是因为感冒致急性中耳炎穿孔;有些则是因为挖耳不慎挖穿鼓膜;常见的就是外伤性鼓膜穿孔,比如打球时被球或手撞耳,吵架被人刮巴掌等外伤都可致鼓膜穿孔,王先生就是这样的例子。
鼓膜穿孔虽然是常见耳部疾病,但并不代表是小病,鼓膜穿孔若治疗不及时,不仅仅是造成耳鸣,更会影响到听力,造成传导性听力障碍,小的破洞妨碍听力并不明显,但破孔愈大,听力受损愈严重。患者在吃药等治疗方式没有效果后,就应该及时去专业的耳鼻喉医院检查并对症治疗。
和王先生有相似的遭遇?是否出现了耳闷,听不清,耳鸣,头晕等症状?在线咨询为您一一解答。
鼓膜穿孔破孔越大,越需及时治疗
耳科医生详解:确诊鼓膜穿孔需要做检查?
冯亮医生指出,任何疾病都要通过详细的确诊才能治疗。鼓膜穿孔一般有以下的检查:
1、纯音听阈检查。检查目的:通过此项检查,可以检测出患者对声音的敏感程度。
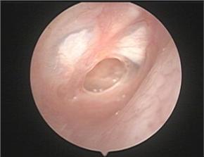
2、耳内窥镜检查。内窥镜是一种光学仪器,由体外经过耳道送入,对耳道鼓膜疾病进行检查,可以直接观察到耳道、鼓膜凹陷、穿孔等,确定其部位、范围,并可进行照相、活检或刷片,大大的提高了传导性耳聋的诊断准确率,并且可以检查助听器喇叭的腐蚀状况。

图为可将耳部病灶放大500倍成像的耳内窥镜
3、检查咽鼓管功能。咽鼓管为沟通鼓室与鼻咽部的管道,其功能同中耳生理机能密切相关,对研究中耳疾病的防治有其重要意义。
您是否还有其他疑问,向医生问个清楚
患者讲述:耳膜穿孔的治疗疗法
医生表示,鼓膜穿孔除了要早些检查,更要选对治疗的方法,目前治疗耳膜穿孔主要有三种方式。
1、药物疗法:口服抗生素、耳朵内滴外用药,这种方法仅能缓解鼓膜穿孔带来的疼痛感,不能修补穿孔的鼓膜,自然无法治疗该病。
2、传统鼓膜修补手术:传统鼓膜修补手术疗法治疗鼓膜穿孔,在耳内或耳后开刀,一般只适用于小型鼓膜穿孔(穿孔面积小于1/3)者,患者用此疗法治疗手术出血量大,且鼓膜修补质量不好,局部组织容易臃肿肥厚,对于患者来说应该谨慎。
3、“自体脂肪压片鼓膜修补术”:将取下的耳后皮下脂肪压成均匀一致、致密的薄片状移植物植入修补,恢复鼓膜的完整性,并提高听力。穿孔闭合率高达97%,是目前治疗鼓膜穿孔的理想的方法。
手术费用要多少,向医生问个明白
出于安全考虑,王先生选择采用“自体脂肪压片鼓膜修补术”,术后复查发现王先生耳膜恢复良好,由于治疗及时听力也逐渐恢复到正常值。仪器检查未见中耳腔发炎。
温馨提醒:鼓膜穿孔使中耳与外界相通,在游泳、洗头或挖耳时细菌容易进入引发中耳炎。反复中耳炎会使鼓膜穿孔增大、中耳粘连硬化,使听力进一步下降。如不适当用药,还可引起内耳神经功能下降,更难医治。患者为了自己身体健康,应及时到专业耳鼻喉医院进行有效的检查。如果您还有任何疑问,您可以点击【在线咨询】,或拨打029-87401000,让医生为您解答疑问,使您“足不出户”就可享受名医医生团队指导专业诊断和治疗鼓膜穿孔的方法。
推荐疗法
“诊治性鼓窦插管术”治疗中耳炎高效更得力 耳朵出了问题千万别小看,选对方法积极治疗...[详细]
推荐医生
张全安 教授 主任医师 1967年毕业于第四军医大学,从事耳鼻咽喉...[详细]